簡単スマホ診療で治療薬がすぐ届く!
気づかないままに他の人へ感染を広げている可能性のある咽頭淋病。
まずは勇気を出して受診をすることが大切です。
当院ではスマホを用いて診察、治療薬郵送のオンライン診療サービスを大変ご好評いただいています。
お薬だけ欲しい方にも、オンライン診療後に淋病治療薬を最短即日発送で全国にお届け可能です。
周りにバレずすぐに治したい方は、オンライン診療をぜひご利用ください。
咽頭淋病(咽頭淋菌)とは


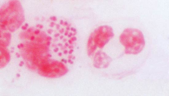
<参考>国立感染症研究所
男性尿道炎患者からの尿道分泌物の塗抹標本(グラム染色)
左:淋菌を貪食している白血球(好中球)。胡麻のように見えるのが淋菌で、2 個対になっている。
右:貪食をしていない通常の白血球。
https://www.niid.go.jp/niid/ja/kansennohanashi/527-gonorrhea.html
淋菌とは性病を引き起こす病原体の一種で、ノドに感染することにより「咽頭淋病(咽頭淋菌):以下 咽頭淋病」という性病を引き起こします。
咽頭淋病は無症状のことが多く、オーラルセックスでコンドームを着用する習慣がない方が多いため、淋病の感染拡大の原因とも考えられています。
自然治癒はしないので医療機関での治療が必須となります。
目立った症状を認めないことが多く、心当たりのある方は注意が必要です。
無症状でも有症状でも、適切に治療を行えばほとんどが完治するため、適切に治療を行うことが大切です。
咽頭淋病(咽頭淋菌)の感染経路・原因

咽頭淋病の感染経路・原因
咽頭淋病の感染経路・原因は、オーラルセックス・ディープキスなど、口を使用した粘膜接触で感染します。
咽頭淋病は心当たりなく感染するのか
全く心当たりがなく感染することはある?
日常生活での感染は基本的にはほとんどないといえます。
(文献によっては極めて稀にトイレやバスタオル、お風呂や湯船の共有など、感染するとの記載もあります)
フレンチキスでも咽頭淋病は感染する?
可能性はゼロではありませんが、粘膜接触がなければ感染の可能性は非常に低いと考えられます。
咽頭淋病(咽頭淋菌)の症状

咽頭淋病の症状は、無症状であることが非常に多く、症状がないから大丈夫とはいえません。
有症状の場合
- ノドの違和感、痛み
- イガイガがずっと続く
- 喉風邪のような症状
- 発熱
- 咽頭、扁桃の赤み、腫れ
などを認めます。
咽頭淋病に気づくタイミング
- 不特定の方との性交渉から数日〜1週間くらい後に喉の症状が出現した。
- 喉の違和感が通常の風邪よりも長引いて続いている。
【写真】咽頭淋病による咽頭炎

<参考>
https://stdcenterny.com/articles/std-sore-throat.html
男性、女性で咽頭淋病の症状に違いはあるの?
基本的に咽頭の症状に性差はありません。
咽頭淋病に似た症状の性病

咽頭淋病に似た症状の性感染症の原因菌として
といった病原体があります。
咽頭淋病と共通していて無症状のことも多いことが特徴です。
「クラミジアと淋病」
「淋病とウレアプラズマ」など
重複して感染していることも多く、重複感染を念頭に検査や治療を行うことも大切です。
当院では重複感染を考慮した治療・処方を行っています。
お気軽にご相談ください。
咽頭淋病を放置するとどうなるのか

無症状の場合気づかずにパートナーに感染させてしまう可能性があります。
また、稀ではありますが重度の扁桃炎・咽頭炎を引き起こし、入院加療が必要になる場合もあります。
何よりもオーラルセックスでパートナーの性器に感染させてしまうリスクを常に持ち続けている状態になることが問題です。
性器淋病は不妊の原因になります。
淋病(淋菌)は自然免疫で排除はされないので必ず抗菌薬での治療が必要になります。
心当たりがある際は必ず検査や治療を行うことが大切です。
簡単スマホ診療で治療薬がすぐ届く!
気づかないままに他の人へ感染を広げている可能性のある咽頭淋病。
まずは勇気を出して受診をすることが大切です。
当院ではスマホを用いて診察、治療薬郵送のオンライン診療サービスを大変ご好評いただいています。
お薬だけ欲しい方にも、オンライン診療後に淋病治療薬を最短即日発送で全国にお届け可能です。
周りにバレずすぐに治したい方は、オンライン診療をぜひご利用ください。
咽頭淋病(咽頭淋菌)の潜伏期間

咽頭淋病の潜伏期間はどれくらいか
咽頭淋病の潜伏期間(感染してから発症するまでの期間)は、数日〜数週間程度といわれています。
健康状態によっては、数日間で即発症することもあり得るので、上記の期間は絶対的なものではなく、目安とお考えください。
無症状でも相手に感染させるのか
咽頭淋病は無症状であっても他人に感染させてしまう可能性があります。
無症状でも菌を保有しているため、知らず知らずのうちに感染を蔓延させることがあります。
咽頭淋病(咽頭淋菌)の検査方法と検査ができる時期

咽頭淋病の検査は感染が疑われるタイミングからすぐに行うことができます。
検査方法は精度の高い核酸増幅法(1-2営業日で結果判定)が使われます。
核酸増幅法
精度の高い検査で郵送検査でもこの方法で検査を行っています。
| メリット | 無症状、心当たりの性行為直後から高い精度の検査を行うことができます。 即日検査のイムノクロマト法よりも検査費用が抑えられます。 |
| デメリット | 結果判定まで1~2営業日かかります。 |
検査別の検体採取の方法
【来院】
生理食塩水でうがいをしてうがい液で検査または咽頭粘膜を擦って検体を採取します。
【郵送】
長い綿棒で咽頭粘膜を擦って検体を採取します。
咽頭淋病(咽頭淋菌)の治療方法・お薬について

咽頭淋病は薬で治療できる
咽頭淋病は薬で治療できます。
ただし、耐性菌が多いため、使用するお薬の種類・容量について
経験値のある医療機関で処方してもらう必要があります。
特に日本ではニューキノロン系の「クラビット」が、尿道炎症状に対して乱用されており、治療効果が期待できにくい状況です。
当院では主にセフェム系抗菌薬の筋肉注射または
マクロライド系抗菌薬(アジスロマイシン)
テトラサイクリン系抗菌薬(ビブラマイシン)の内服などで治療を行っています。
セフェム系抗菌薬の筋肉注射は淋病に対して高い治療効果が期待できるメリットがある反面、淋病以外の性病には効果が期待できず、実際にご来院いただく必要があることがデメリットです。
アジスロマイシンは1度内服すると1週間効果が継続するため、飲み忘れの心配がない点に大きなメリットがあり、クラミジアやマイコプラズマ・ウレアプラズマなどの性病にも効果が期待できます。ただし、淋病治療に必要な容量を間違えると効果が得られないため注意が必要です。
ご注意
咽頭淋病のお薬は、市販されていません。
咽頭淋病の治療で使われる「抗菌薬(抗生物質)」の処方は、医師の判断が必要です。
インターネットの通販で、「淋病の治療薬」として抗菌薬が販売される様子が散見されますが、お身体への安全性が不明であったり、治りきらないままになってしまう、ということも考えられます。
自己判断での服用はお控えください。
咽頭淋病の薬は何日で効くか

治療してから1週間以内に症状は改善します。
薬剤耐性があった場合は、一度症状が改善してぶり返す事があります。
咽頭淋病治療中に性行為はできるか
治療中の性行為は厳禁です。
オーラルセックスをしなければ大丈夫かもしれないと考えられる方もいらっしゃいますが、万が一のリスクを考慮して自粛しましょう。
性行為再開は原則的に再検査で陰性が確認できてからとなります。
治療後の検査
お薬を内服後2週間以上経過してから治療の効果判定の検査を推奨しています。
2週間以内に検査するとクラミジアの死骸に反応することで「偽陽性」となってしまうことがあります。
簡単スマホ診療で治療薬がすぐ届く!
気づかないままに他の人へ感染を広げている可能性のある咽頭淋病。
まずは勇気を出して受診をすることが大切です。
当院ではスマホを用いて診察、治療薬郵送のオンライン診療サービスを大変ご好評いただいています。
お薬だけ欲しい方にも、オンライン診療後に淋病治療薬を最短即日発送で全国にお届け可能です。
周りにバレずすぐに治したい方は、オンライン診療をぜひご利用ください。
咽頭淋病(咽頭淋菌)の予防方法

咽頭淋病を予防するためのポイント
咽頭淋病にかからないための予防方法として、
- コンドームを使用すること(オーラルセックスの時も)
- 定期的に検査を受けること
- 不特定多数との性行為を避けること
が挙げられます。
粘膜の接触機会をもたないことがポイントです。
咽頭淋病予防薬について
「ドキシペップ(ドキシプレップ)」という予防法が注目されています。
行為後72時間以内に抗菌薬を服用することで一定割合で予防できるといわれています。
ドキシペップ(ドキシプレップ)の予防投与法については以下で解説しています。
咽頭淋病に関するよくある質問
-
自分またはパートナーが陽性だった場合どうしたらいいですか?
いずれの場合もまずは治療することを優先します。
パートナーが陽性・ご自身が無症状で検査を行い陰性だった場合、
「偽陰性」である可能性が否定できないため治療する方が無難です。 -
お薬だけ欲しいのですが可能でしょうか?
はい、可能です。
適切な治療を行えばほとんどの場合完治するため、治療前後で検査を行わずにお薬だけの処方を希望される場合には、お薬処方だけの対応もしております。
ただし、
本当に感染しているのか?
本当に治っているのか?
など不確定要素が増えてしまう点については予めご了承ください。 -
咽頭淋病は自然治癒しますか?
咽頭淋病は自然治癒しません。
必ず治療が必要になります。 -
淋病はキスでも感染しますか?
キスでも感染する可能性は否定できません。
-
性行為をした後に喉が痛い。これは咽頭淋病ですか?
検査をしないと確定的なことはいえません。
感染リスクの高い風俗店を利用した後に発症した、など状況証拠から相対的に可能性が高そう・低そうという推測はできますが、咽頭淋病であるか否かの判断には検査が必要になります。
疑わしいケースでご希望あれば検査なしでお薬の処方には対応しております。 -
リスクのある感染機会からどれくらい期間が経つと検査できますか?
核酸増幅法であれば心当たりの性行為直後から検査が可能です。
-
治療期間はどれくらいかかりますか?
概ね1度治療薬を内服すれば治癒します。
内服2週間後以降に検査を行い、陰性であれば完治の判定になります。
内服2週間以内で検査を行うことも可能ですが、死骸に反応して陽性判定となる「偽陽性」になる可能性もあるため、偽陽性が起こり得ない十分な期間を空けてからの検査を推奨しています
咽頭淋病の感染者は年々増加

感染症発生動向調査における淋菌感染症の定点当たり報告数は、2002-2003年をピークに減少し、2016年以降はほぼ横ばいでしたが、2020年以降、男女とも増加しています。
男女ともに2020年代から若年層(20-30歳代)での感染者数が増加しています。
また、男性の方が女性よりも圧倒的に感染者数が多い報告ですが、実際には男性の方が症状が出やすいために検査数の絶対値が男性の方が多いことが予想されます。
逆にいうと女性の方が症状が出にくいため、心当たりのある女性は積極的に検査を行うことが大切です。

<国立感染症研究所>
https://www.niid.go.jp/niid/ja/gonorrhea-m/gonorrhea-idwrs/12089-gonorrhoeae-16jun.html
簡単スマホ診療で治療薬がすぐ届く!
気づかないままに他の人へ感染を広げている可能性のある咽頭淋病。
まずは勇気を出して受診をすることが大切です。
当院ではスマホを用いて診察、治療薬郵送のオンライン診療サービスを大変ご好評いただいています。
お薬だけ欲しい方にも、オンライン診療後に淋病治療薬を最短即日発送で全国にお届け可能です。
周りにバレずすぐに治したい方は、オンライン診療をぜひご利用ください。


