簡単スマホ診療で治療薬がすぐ届く!
おりものの臭いや量に異常を認める細菌性膣炎。
症状の改善には最適な治療方法を選びましょう。
当院ではスマホを用いて診察、治療薬郵送のオンライン診療サービスを大変ご好評いただいています。
お薬だけ欲しい方にも、オンライン診療後に治療薬を最短即日発送で全国にお届け可能です。
周りにバレずすぐに治したい方は、オンライン診療をぜひご利用ください。
細菌性膣炎・細菌性腟症について

細菌性膣炎・細菌性膣症とは
細菌性膣炎とは、大腸菌などが膣内で異常に増殖して引き起こされる腟感染症です。
クリーム状のおりものの量が増えたり、生臭い匂いのあるサラサラした分泌物を認め、性病と似た症状を認めます。
性交渉が原因になることもありますが、疲労やストレスなどで免疫力が低下した時に発症することも多く、再発を繰り返しやすいことも特徴です。
細菌性膣炎(細菌性膣症)は性感染症の一つとして分類されることもありますが、性行為だけはなく自己感染が原因になることが多いので、性行為の経験がない方も発症します。

<参考>
グラム染色した乳酸桿菌
https://phil.cdc.gov/Details.aspx?pid=16824
細菌性膣炎・細菌性腟症の感染経路
細菌性膣炎の原因

細菌性膣炎(細菌性腟症)は、膣内を正常に保つ「乳酸桿菌」の働きが低下することで発症する膣炎です。
健康な膣内には「乳酸桿菌」と呼ばれる乳酸を酸性する菌が常在菌として繁殖しており、膣内を酸性に保つことで雑菌の繁殖を抑えてくれています。
しかし、下記のような原因で乳酸桿菌の働きが低下すると、大腸菌など膣の周りに存在する常在菌が膣内で異常に増殖することで膣炎やおりものの症状を引き起こします。
- 性交渉
- 複数のセックスパートナーがいる
- 子宮内避妊器具を使用している
- 風邪薬の使用
- 疲労やストレス
- 生理や妊娠、出産などによるホルモンの変化
- 締め付けのキツい下着の着用
- 陰部の洗いすぎ
- 他の性病に感染している
- 不衛生な手で陰部を触れた場合(例:車内での性行為)
- 唾液を性行為時に使用
性行為で相手から感染するというよりも、性行為が引き金になって発症する可能性がある病気です。
再発を繰り返す場合は、他の感染症にかかっている可能性も考えられるため、必ず専門のクリニックを受診してください。
また、「ピルを使用していると細菌性膣炎になりやすい」という噂もあるようですが、ピルの使用が細菌性膣炎の原因になることは基本的にありません。
<参考>
https://jssti.jp/pdf/guideline2008/02-8.pdf
簡単スマホ診療で治療薬がすぐ届く!
おりものの臭いや量に異常を認める細菌性膣炎。
症状の改善には最適な治療方法を選びましょう。
当院ではスマホを用いて診察、治療薬郵送のオンライン診療サービスを大変ご好評いただいています。
お薬だけ欲しい方にも、オンライン診療後に治療薬を最短即日発送で全国にお届け可能です。
周りにバレずすぐに治したい方は、オンライン診療をぜひご利用ください。
細菌性膣炎・細菌性腟症は心当たりなく感染するのか
全く心当たりがなく感染することはあるのでしょうか?
細菌性膣炎(細菌性腟症)は、性交渉以外が原因でも発症します。
乳酸桿菌以外の常在菌増殖が原因で、他人やモノから直接感染するという病気ではありません。
細菌性膣炎・細菌性腟症の症状

細菌性膣炎が発症したときの症状としては、
- おりものが生臭い・イカくさい
- おりものが灰色・黄色・量が多い
- 陰部がかゆい、いたい
- 性行為痛
などの症状を認めます。
クラミジアや淋病といった性病の症状をも似ているため、症状だけで判断は出来ませんが、心当たりの性交渉がないのにも関わらず上記のような症状があれば細菌性膣炎・細菌性腟症が疑わしいといえます。

<参考>
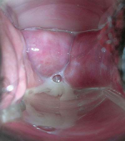
細菌性膣炎の子宮頸管部とおりもの
https://www.mdedge.com/familymedicine/article/88643/womens-health/malodorous-vaginal-discharge
細菌性膣炎・細菌性腟症に似た症状の性感染症

細菌性膣炎(細菌性腟症)に似た症状の性感染症の原因菌として
- クラミジア
- マイコプラズマ・ウレアプラズマ
- トリコモナス
- カンジダ性膣炎・カンジダ症
といった病気があります。
症状でが似ているので、症状だけで区別・判断をするのは難しいですが、性交渉以外が原因でも発症する点では違いがあるといえます。
細菌性膣炎・細菌性腟症を放置するとどうなるか
自然治癒することもありますが、放置すると症状が悪化してしまうことがあります。
他の病気にもかかりやすい状態を作り出してしまうため、気づいたら治療することを推奨します。
オンライン診療でお薬は即日発送ですぐにお届けが可能です。ぜひご利用ください。
簡単スマホ診療で治療薬がすぐ届く!
おりものの臭いや量に異常を認める細菌性膣炎。
症状の改善には最適な治療方法を選びましょう。
当院ではスマホを用いて診察、治療薬郵送のオンライン診療サービスを大変ご好評いただいています。
お薬だけ欲しい方にも、オンライン診療後に治療薬を最短即日発送で全国にお届け可能です。
周りにバレずすぐに治したい方は、オンライン診療をぜひご利用ください。
細菌性膣炎・細菌性腟症の潜伏期間
細菌性膣炎・細菌性腟症の潜伏期間はどれくらいか
自分の体の中にいる常在菌が異常増殖する病気なので、潜伏期間という考え方は基本的にはありません。
無症状でも相手に感染させるのか
無症状で他人に感染させるということは基本的にありません。
細菌性膣炎・細菌性腟症の検査方法と検査ができる時期

細菌性膣炎(細菌性腟症)の検査は、感染が疑われるタイミングからすぐに行うことができます。
検査方法は顕鏡検査です。
顕微鏡検査のメリットとしては、任意のタイミングでいつでも検査ができます。
反対に、デメリットとしては、常在菌なので症状の有無に関わらず検出される可能性があります。
膣内に細長い綿棒を挿入して膣内を擦って検体を採取することで、検査ができます。
細菌性膣炎・細菌性腟症の治療方法・お薬について

細菌性膣炎・細菌性腟症は薬で治療できる
細菌性膣炎(細菌性腟症)は薬での治療ができます。
臨床的に細菌性膣炎・細菌性腟症が疑わしい場合は検査を行わずに治療を開始します。
フラジール膣錠(成分名:メトロニダゾール)という膣錠を1日1回寝る前に7日間使用して治療します。
細菌性膣炎・細菌性腟症の薬は何日で効くか
膣錠を使用後数日で症状は改善します。
ぶり返し予防の観点から、7日間膣錠は継続することを推奨します。
細菌性膣炎・細菌性腟症の治療中に性行為はできるか
細菌性膣炎(細菌性腟症)では膣粘膜の炎症が強く、症状が改善するまで性交渉は控えるべきです。
治療後の検査について
細菌性膣炎(細菌性腟症)であれば症状が改善すれば、治療後の検査は特に必要ありません。
簡単スマホ診療で治療薬がすぐ届く!
おりものの臭いや量に異常を認める細菌性膣炎。
症状の改善には最適な治療方法を選びましょう。
当院ではスマホを用いて診察、治療薬郵送のオンライン診療サービスを大変ご好評いただいています。
お薬だけ欲しい方にも、オンライン診療後に治療薬を最短即日発送で全国にお届け可能です。
周りにバレずすぐに治したい方は、オンライン診療をぜひご利用ください。
細菌性膣炎・細菌性腟症の予防方法

細菌性膣炎(細菌性腟症)を予防するためには、陰部を清潔にして保つことが基本です。
具体的な予防策としては、次のようなものがあります。
- 性行為の前後にシャワーを浴びて外陰部を清潔に保つ(ただし洗いすぎは注意です)
- おりものシートの交換はこまめに行う
- 子宮内避妊具の使用をやめる
- トイレの時は前から後ろ方向に拭く
細菌性膣炎(細菌性腟症)を予防するためには、陰部の清潔だけでなく、ストレスを溜めないことや日常生活を見直すことも大切です。
細菌性膣炎・細菌性腟症に関するよくある質問
-
検査はいつごろからできますか?
症状があればいつでも検査は可能です。臨床的に細菌性膣炎が疑わしい場合は検査を行わずにお薬を処方いたします。
-
自然に治ることはないのでしょうか?
自然に治る場合もありますが、膣剤を使用することで早期の症状改善が見込めます。
-
妊娠中に細菌性膣炎を発症するのはなぜですか?
免疫力が低下しやすい妊娠中は、ささいなことがきっかけで膣内の細菌が異常繁殖することがあります。
妊娠したからといって必ずしも細菌性膣炎になるわけではありませんが、妊婦健診では細菌性膣炎の検査をすることが多いです。
-
治療にはどの程度時間がかかりますか?
膣剤を7日間使用します。
-
細菌性膣炎を発症している気がします。市販の膣内洗浄を使用してもよいですか?
細菌性膣炎かどうかを調べるには検査が必要です。
細菌性膣炎とよく似た症状の性感染症もあり、それぞれ治療法も異なるため自己判断で膣内洗浄の市販品を使うことはおすすめできません。
-
検査結果を知るために再度来院する必要はありますか?
Webから検査結果が確認できるので、ご来院していただく必要はございません。
簡単スマホ診療で治療薬がすぐ届く!
おりものの臭いや量に異常を認める細菌性膣炎。
症状の改善には最適な治療方法を選びましょう。
当院ではスマホを用いて診察、治療薬郵送のオンライン診療サービスを大変ご好評いただいています。
お薬だけ欲しい方にも、オンライン診療後に治療薬を最短即日発送で全国にお届け可能です。
周りにバレずすぐに治したい方は、オンライン診療をぜひご利用ください。

